
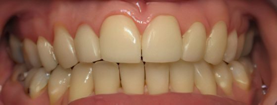
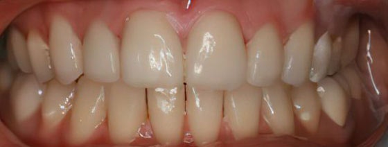
Smile Makeover
Have Multiple
Aesthetic Dental Concerns?
Consider a Smile Makeover
/
A smile makeover is a comprehensive treatment plan to address your aesthetic dental concerns by combining procedures. Drs. Donald and Cathleen Czaplicki can create a personalized plan for you.
Candidates for a Smile Makeover
Patients With Multiple Cosmetic Concerns
Some patients only need one treatment to achieve their desired results, while others may need several. If you have multiple aesthetic dental concerns you'd like to change, a smile makeover may be the right solution for you.
Patients in Good Oral Health
A smile makeover is intended to correct aesthetic concerns a patient has with the appearance of their smile, rather than improve overall oral health. If you have oral health concerns, our dentists can provide you with the treatment you need before planning a smile makeover.
Is a Smile Makeover Right for You? Request a Consultation
If you have a healthy smile but aren't satisfied with its appearance, a smile makeover may be just what you need so you can show your smile confidently to the world. Our dentists are affiliated with the American Academy of Cosmetic Dentistry, meaning they are dedicated to providing outstanding results. They can perform various cosmetic dentistry services from our Hales Corner office.
If you're in the Milwaukee area and looking for an improved smile, reach out to our caring team:
(414) 427-9090

Patients Across Milwaukee Appreciate Our Practice
All of my experiences with Czaplicki Family Dentistry have been pleasurable. Each of the dentists and team members have been professional, knowledgeable, and personable. The positive experiences with the dentists, administrative personnel, and clinical staff, both assistants and hygienists, have made these occasions excellent. I would highly recommend Czaplicki Family Dentistry for your dental needs.
View on GoogleI came here after my former dentist canceled on me twice after I had broken a tooth. Czaplicki got me in IMMEDIATELY and they were so thorough I already knew what work I needed besides due to prior appointments with other dentists, so I knew they were honest with me. They also really put me at ease as I was nervous about the extent of damage I would've sustained. So happy with them
View on GoogleOur Featured Smile Makeover Procedures
Porcelain Veneers
These thin, ceramic shells are bonded to the front of your natural teeth. This treatment alone can make a huge difference in your smile, covering cracks, chips, and stains. It can even improve the appearance of gapped or slightly crooked teeth.
Dental Bonding
Dental bonding is an affordable alternative to porcelain veneers. Our dentists may recommend composite bonding to cover or correct stains, chips, and cracks. Dental bonding can even lengthen or reshape worn-down teeth.
Teeth Whitening
We offer several brands of teeth whitening, including the KöR® Whitening system, to meet each patient's unique needs. Whether you select in-office or take-home whitening, you can expect a brighter, more dazzling smile quickly.
Invisalign
Invisalign® is a discreet alternative to traditional orthodontic treatment. Invisalign uses clear, plastic aligners that fit snugly over your natural teeth. These aligners gradually move your teeth into their new positions while providing more discreet, comfortable treatment than metal braces.
Gum Reshaping
Gum reshaping can gently and permanently treat smiles with excessive or uneven gum tissue. By creating an even, proportionate gumline, our dentists can give you a bigger, brighter, and more symmetrical smile.
Dental Implants
If you're missing teeth, dental implants are ideal for replacing missing tooth roots and restoring the overall function of your mouth. Our office does not place dental implants, but we can connect crowns, bridges, or dentures to implants that have already been placed.
The Process of Developing a Smile Makeover Plan
Our precise, patient-focused care can help you achieve the smile you have always wanted.
Flexible Financing Available
Many treatments involved in a smile makeover aren't covered by insurance because they are cosmetic procedures rather than medical services. To mitigate the cost of your smile makeover, we proudly accept CareCredit® patient financing. We have trained personnel who can help you navigate the financing process.
Patients in the Milwaukee Area Love Our Dental Team
So very happy to find this place. I called yesterday because I'm in excruciating pain. They got me in the very next day and able to service my needs immediately. The staff treated me great and I'm typically a nervous Nelly when it comes to the dentist but this place made me feel safe. Highly recommend!
View on GoogleI’ve been going here for over 8 years and couldn’t be happier with the service. The office is clean and comfortable. The hygienist are so nice and gentle. Dr. Don and Dr. Kathy are always very kind. The receptionist are always cheerful and helpful getting my family in for appointments. Would highly recommend!
View on Google










