
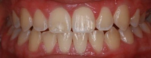
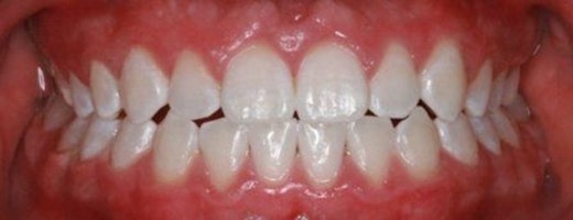
Teeth Whitening
Types of Teeth Whitening
Drs. Don and Cathleen Czaplicki offer a variety of tooth whitening products to help you achieve a more attractive smile.
The KÖR Whitening Systems
KÖR Max
The KÖR Max in-office whitening treatment penetrates deeper stains in teeth. The 34% Dual-Activated, Tri-Barrel Hydremide® Peroxide gel is used to lighten the color of teeth in a single appointment.
To further enhance the results of the in-office treatment at our Milwaukee, WI, practice, patients use the KöR-Night™ at-home system for two weeks while they sleep. They can also undergo additional treatment as needed to maintain whiter teeth.
If you have especially tough dental stains, or if you simply want to achieve a faster result in time for a special event such as a wedding or graduation, KÖR Max in-office whitening treatment might be the right solution for you.
KÖR Home
KöR-Day™ and KöR-Night are two at-home systems that can be used on their own to whiten your teeth at home. KöR-Day contains 9% hydrogen peroxide and KöR-Night contains 16% carbamide peroxide. The daytime whitening system is preferred for patients with tooth sensitivity because a lower strength of gel is used for a shorter period of time. During your appointment, we can determine which system is best for you.
It is recommended that patients use each product for two weeks, but the nighttime formula is worn for several hours while you sleep. Our dentists will recommend how long you should wear the daytime formula based on your degree of dental sensitivity.
"He Did a Great Job."
I’ve been going here for over 8 years and couldn’t be happier with the service. The office is clean and comfortable. The hygienist are so nice and gentle. Dr. Don and Dr. Kathy are always very kind. The receptionist are always cheerful and helpful getting my family in for appointments. Would highly recommend!
View on GoogleI've been coming here for about eight years. Dr. Don fixed what multiple other dentists couldn't. He did a great job whitening too. I still travel to see him.
View on GoogleZoom Take-Home Whitening

Our dentists offer two types of tooth whitening systems from the Philips Zoom! family of products. Zoom DayWhite contains 14% hydrogen peroxide and Zoom NightWhite contains 22% carbamide peroxide. This treatment involves the use of customized trays that fit your teeth so you can safely and evenly apply the whitening gel to your teeth.
In as little as a few days, improvement can be seen. Most individuals whiten their teeth for a period of two weeks initially, and then follow up with a couple of nights of whitening each month to maintain their results.

Professional vs. OTC Teeth Whitening
Which Is Better?
Most people have tried over-the-counter products like whitening toothpaste, strips, and pens. While these products can offer a slight improvement and eliminate some stains, they simply don't contain the same high concentration of the active ingredients found in products offered at our dental practice in Milwaukee. Especially if you have moderate to severe staining or deep discoloration, we recommend professional teeth whitening as opposed to whitening toothpastes and other OTC products.





